インプラント 歯周病治療 審美歯科 足立区千住の歯科医院 あづま歯科医院
足立区千住の歯科医院 あづま歯科医院
ご予約・お問い合せは03-3888-8188
足立区千住の歯科 あづま歯科医院
足立区千住の歯科 あづま歯科医院 医院紹介
足立区千住の歯科 あづま歯科医院 院長・スタッフ紹介
足立区千住の歯科 あづま歯科医院 治療の進め方
足立区千住の歯科 あづま歯科医院 治療案内

インプラント治療
歯周病治療
予防歯科
審美歯科
口腔外科
一般歯科
当院での治療例
足立区千住の歯科 あづま歯科医院 医院までのアクセス
足立区千住の歯科 あづま歯科医院 良くある質問
足立区千住の歯科 あづま歯科医院 お問い合せ


あづま歯科医院 治療案内
歯周病治療

歯周病とは


歯を支える色々なな組織(歯肉、歯根膜、セメント質、歯槽骨)にプラーク(歯垢)中の細菌が感染して炎症と破壊が進行することで起こります。また、不摂生な生活環境が発症や悪化の原因となる生活習慣病です。
歯周病のリスクファクターとして下記の事が考えられます。
・ 糖尿病
・ 喫煙
・ 肥満
・ ストレス

治療の基本は原因の除去です。プラークを如何にして除去するか、プラークコントロールが最も大切ということです。正しいブラッシングを身に着けこのプラークコントロールを生活習慣のなかで確立していくことが重要です。治療は歯科医師だけでなく患者さんとの協同作業であるといえます。

ねばねばした細菌の集まりがプラーク(左上)です。
その細菌が少しずつ死滅して細菌の死骸に唾液成分の無機質が沈着し石灰化したものが歯石(右上)になります。

これらの症状は歯周病の兆候です


・ 朝起きた時、口の中が粘ついたり妙な味がする
・ 冷たい水を飲むと、虫歯もないのに、歯や歯ぐきがしみて痛い
・ 歯を磨くとき、歯ぐきから出血することがある
・ 歯ぐきが赤くはれたり、痛むことがあり、押すと血やウミがでる
・ 口臭がある
・ 鏡で見ると前よりも歯が長くなったように感じる
・ 歯ぐきがむずがゆく、歯がぐらぐらと動く感じがする
・ 歯と歯の間によく食べ物がはさまる

歯周病治療の流れ

問診
患者さんの最も苦痛としているもの。また、来院された理由、現在の健康状態などを確認します。。
お口の中の診査
虫歯の有無、お口の中の清掃状態、プラーク、歯石の付着状態。噛み合わせの診査。必要に応じてレントゲンの撮影をします。
診断
歯周病の進行状態について説明します。


治療の基本は


原因の除去療法
プラークコントロール
患者さん自身が行うプラークコントロール
 患者さんのお口の状態にあったブラッシングの仕方を指導します
 正しいブラッシングは生活習慣のなかで確立していかなければ
 長期間にわたる成功はあり得ません

歯科医師、歯科衛生士が行うプラークコントロール
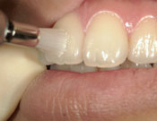
PMTC
 特別な器械、ペーストを使用して汚れを機械的に取り除いて、
 さらに可及的にプラークが付着しにくくします。

 
歯石の除去(スケーリング)とルートプレーニング
進行した歯周病に対しては、外科的処置が必要なこともあります

生活環境の改善の指導
(自然治癒力が高まります)

・軟らかい物ばかり食べない
・糖分(砂糖)を摂りすぎない
・ストレスをためない
・たばこは吸わない
・両側の歯で噛む
・口呼吸の習慣をやめる

メインテナンス


治療終了後は、定期的な検診をおこないます。
歯周病は再発しやすいので早期発見、早期治療が必要です。
あづま歯科医院(歯科 東京 千住) 
120-0025 東京都足立区千住東2-8-3 
TEL:03-3888-8188
インプラント 歯周病治療 審美歯科 足立区千住の歯科医院 あづま歯科医院