 |
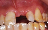
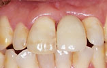
CASE1
歯を一本だけ失った場合 審美的・機能的に回復
|
|
|
|
|
インプラント埋入前
|
インプラント埋入後
|
インプラントに
セラミッククラウンを装着
|
|
|
|
|
1本のインプラントによってあたかも自分の天然歯のように自然に感じられます。
骨の「萎縮」も心配なく本来の骨量を維持できます。ブリッジを入れる時のように健康な隣の歯を削る必要がありません。
|
CASE2
上の前歯4本が欠損 審美的回復
|
|
|
|
|
インプラント埋入前
|
インプラント埋入後
|
インプラントに
セラミッククラウンを装着
|
上の前歯4本が欠損しており、以前は義歯が入っていました。3本のインプラントを埋入して、固定のブリッジを装着しました。口元のコンプレックスも解消されました。
|
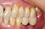
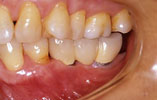
CASE3
下の奥歯2本が欠損 機能的回復
|
|
|
|
|
インプラント埋入前
|
インプラント埋入後
|
インプラントに
セラミッククラウンを装着
|
奥歯が2本失われ、従来は取り外し式の部分入れ歯を入れていました。2本のインプラントを埋入し、自分の歯と同様の感覚の「固定式」人工歯を入れ、噛む機能を回復しました。
|
CASE4
上の前歯1本だけ失った場合 審美的回復
|
|
|
|
|
インプラント埋入前
|
インプラント埋入後
|
インプラントに
セラミッククラウンを装着
|
|
|
|
|
上の前歯1本だけ失った場合、通常両隣りの歯を削ってブリッジを入れますが、インプラント治療によって、健康な歯を削ることなく、審美的にも回復しました。。
|
CASE5
下の奥歯3本を失った場合 機能的回復
下の奥歯3本欠損で従来取り外し式の部分入れ歯が入っていましたがインプラントを2本埋入し、固定式のブリッジを装着しました。
|
CASE6
上の歯全部がない場合 機能的回復
|
|
|
|
|
正面観
|
噛合面観
|
レントゲン
|
 |
 |
|
|
術前
|
術後
|
|
2本のインプラントを植立し、アタッチメント(磁石)を維持装置として、義歯を装着しました。
食事中にはずれることもなく、また義歯の上あごの部分をなくすことによって、食事時の違和感がなくなりました。
|
| |
CASE7
下の前歯5本抜けている場合 審美的回復
下の前歯に3本のインプラントを埋入し、セラミッククラウンのブリッジを装着し、審美的にも回復しました。
|
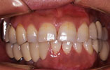
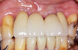
CASE8
上顎、下顎に多数の歯が抜けている場合 審美的・機能的に回復
|
|
|
|
|
インプラント埋入前
|
インプラント埋入後
|
インプラント埋入後
|
|
|
|
|
|
インプラントに
セラミッククラウンを装着
|
術前
|
術後
|
上顎、下顎とも多数欠損により、長い間上手く噛めませんでした。CT撮影後、上顎に4本、下顎に5本のインプラントを埋入し、
固定式のブリッジを装着することにより、審美的、機能的回復をいたしました。
|