インプラント 歯周病治療 審美歯科 足立区千住の歯科医院 あづま歯科医院
足立区千住の歯科医院 あづま歯科医院
ご予約・お問い合せは03-3888-8188
足立区千住の歯科 あづま歯科医院
足立区千住の歯科 あづま歯科医院 医院紹介
足立区千住の歯科 あづま歯科医院 院長・スタッフ紹介
足立区千住の歯科 あづま歯科医院 治療の進め方
足立区千住の歯科 あづま歯科医院 治療案内

インプラント治療
歯周病治療
予防歯科
審美歯科
口腔外科
一般歯科
当院での治療例
足立区千住の歯科 あづま歯科医院 医院までのアクセス
足立区千住の歯科 あづま歯科医院 良くある質問
足立区千住の歯科 あづま歯科医院 お問い合せ


あづま歯科医院 治療案内
審美歯科
歯を白く、きれいにされたい方に...

歯には機能的な面のほかに美的な側面があります、お口の悩みでコンプレックスを抱えている人は少なくありません。健康で美しく、魅力的な笑顔は精神的な自信にも繋がります。
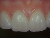
歯本来の色をとりもどす

歯科衛生士によるPMTC(口腔内の徹底的な清掃)
毎日、隅々まで磨いているつもりでも歯ブラシの届きにくい所、汚れがたまりやすい所が出来てしまいます。また、タバコのヤニ、コーヒー、紅茶の茶しぶなどの着色は一度ついたらハミガキではとれません。歯科医師や歯科衛生士が専用器機を使用して汚れを取り除き、フッ化合物を含んだペーストで歯面を磨くことにより光沢のある歯の表面を回復することができます。フッ素を塗布することにで歯質の強化になり虫歯の予防になります。、また、歯面が滑沢なことで歯垢が付きにくくなり歯周病の予防にもなります。
 

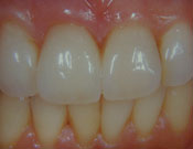
薬品を使用して歯の白さをとりもどす

当医院では低濃度で歯に優しいホームホワイトニングのみを行っています。ホームホワイトニングは歯科医師の指導のもと、ご自身が自宅にて行う方法です。患者さんの歯型をとりカスタムトレーを作ります。トレーに薬剤を注入し歯に装着します。原則1日2時間ですが、早く高い効果を望む方には睡眠時約8時間装着することをお勧めいたします。 ホワイトニング剤は知覚過敏を抑制し、エナメル質を強化することにより虫歯予防効果のあるフッ素を含んでいるので、歯にダメージを与えず白くできます。

ホームホワイトニングの手順

1.お口全体の検診
  歯の色調の確認。虫歯、歯周病、歯ぎしり等歯科的問題の有無の確認をします

2.前処置
  歯石の除去、歯面の清掃

3.カスタムトレーの作製
  患者さんの歯形をとりトレーを作製します

4.カスタムトレーにホワイトニング剤を注入し歯に装着します。

 

ホームホワイトニングの費用

片顎
30,000円
上下顎
60,000円
  • 診察、その他ホワイトニングに必要となる事がある処置等につきましても、費用と併せて事前に御説明致します。
  • 治療に関して気になる事がありましたら、担当医師にご相談下さい。

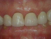
セラミックを被せて治す

短期間で治療が可能な方法です。歯を削ることにより、理想的な形態のセラミックを被せ歯並びを整えることができます。被せる種類には、
 オールセラミッククラウン
 メタルボンドセラミッククラウン
 ラミネートベニア
の3種類があります。

 

オールセラミッククラウン
 金属を使用しないため自分の歯と変わらない色調や透明感があり、審美性に優れています。

メタルボンドセラミッククラウン
 単独歯、ブリッジなど様々なケースに適応できます。

ラミネートベニア
 表面のエナメル質を一層削りセラミックを張り付けるもので、歯質の削除量が僅かですみます。


あづま歯科医院(歯科 東京 千住) 
120-0025 東京都足立区千住東2-8-3 
TEL:03-3888-8188
インプラント 歯周病治療 審美歯科 足立区千住の歯科医院 あづま歯科医院